Domine, em 2 dias de imersão em facetas, os pilares que vão multiplicar seu faturamento na dentística

92% dos ingressos vendidos a R$72,00

O que é a Versatile?

A Versatile nasceu no Instituto Naturale como curso presencial, onde o método dos 3 pilares fundamentais do Dr. Marcos Barceleiro transformou a prática de diversos dentistas.

Agora, em formato 100% digital e ao vivo, você terá 12 horas de imersão prática para dominar facetas e aplicar protocolos que unem ética, técnica e faturamento.

Você sai da imersão com estratégias prontas para aplicar já na próxima semana no consultório.

MUITO ALÉM DE UMA IMERSÃO SOBRE FACETAS...

1 -Técnica

2 -Ética

3 - Faturamento

Esses são os pilares que vão mudar o resultado do seu consultório!

O que você vai aprender na imersão:

Fundamentos estéticos em dentes anteriores

Planejamento de casos com estratégia e previsibilidade​​​

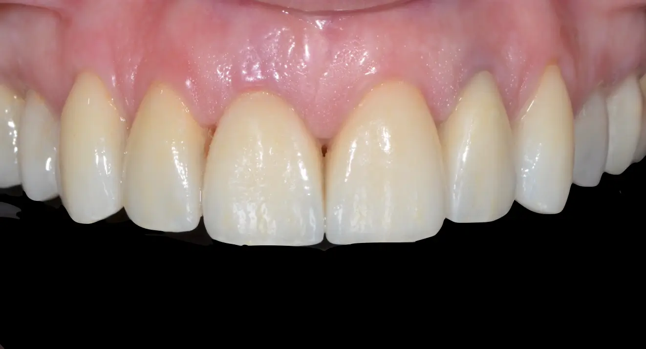
Facetas em resina:
do preparo ao polimento final

Facetas em cerâmica:
do preparo à cimentação​

Técnicas de Mock-Up​

Clareamento Dental

Fotografia Clínica

Fidelizar o paciente pós-tratamento

Marketing

Vendas

e muito mais...

Saúde e Estética

Andam lado a lado...

Cronograma

Dia 1

Sábado

(20/09)

9:00 – Inicio

12:00 –  Intervalo

13:00 – Retorno

18:00 – Encerramento

Dia 2

Domingo

(21/09)

9:00 – Inicio

12:00 –  Encerramento

GARANTA SEU INGRESSO:

R$: 72,00

Essa imersão é para você que deseja:

Crescer no mercado com um diferencial real.​

Aprimorar sua técnica em facetas.

Trabalhar com mais previsibilidade.

Trabalhar menos e ganhar mais​​.

Faturar de forma inteligente.

Unir técnica, ética e faturamento.

Quem será o seu mentor?

Dr. Marcos Barceleiro

Fundador da Naturale Dental Studio e Instituto Naturale, Presidente do GBPD, Mestre e Doutor em Dentística e Professor Titular da UFF.

Mas antes de qualquer título, Marcos é um cirurgião-dentista que viveu exatamente o que você vive hoje.

Ele é a prova viva de que a odontologia séria transforma vidas. Veio de família simples, estudou em universidade pública é movido pela educação e pela missão de elevar o nível da odontologia brasileira.

Dedicou sua carreira inteira a desenvolver métodos que realmente funcionam – não apenas na teoria, mas no dia a dia do mocho.

Foi esse método que levou o Dr. Marcos de um jovem dentista em início de carreira a se tornar referência nacional, formando os dentistas que outros dentistas admiram.

E agora, em dois dias de imersão, ele vai compartilhar esse caminho com você.

92% dos ingressos vendidos a R$72,00

Rolar para cima

Finalize sua inscrição na Versatile!

Você será redirecionado para concluir o pagamento com total segurança.​